

CASOS REALES DE NUESTROS PACIENTES
ANTES – DESPUÉS
Te mostramos algunos resultados de nuestros tratamientos:
antes y después de la visita nuestra clínica
Ven a visitarnos y nuestros médicos especialistas te informarán sin ningún tipo de compromiso.
Financiación hasta 48 meses sin intereses.
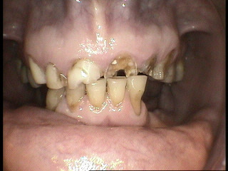
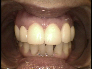
CARILLAS


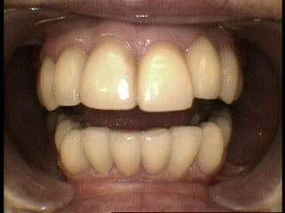
PUENTES FIJOS


CARILLAS


CARILLAS


IMPLANTES


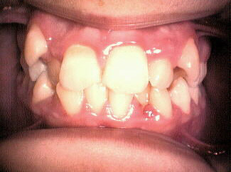
ORTODONCIA



TU CLÍNICA DENTAL DE CONFIANZA EN ARRECIFE
Puedes ponerte en contacto con nosotros a través del siguiente formulario y te informaremos de lo que podemos hacer por tu salud bucodental.




